Prof. Dr. İsmail Mihmanlı
Doğru tanı tedavide kilit taşıdır.

+90 212 267 35 35

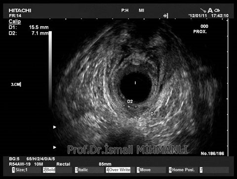
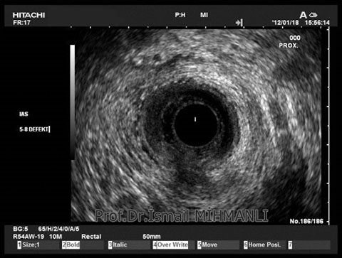
PERİANAL FİSTÜLLER Perianal fistül ve abselerin intersfinkterik anal bez iltihabından kaynaklandığı düşünülmektedir. Crohn hastalarında perianal enflamatuvar hastalık sıktır. İntersfinkterik mesafedeki enfeksiyon yukarıda rektuma, aşağıda cilde, yanlarda dış sfinkteri geçerek iskiyoanal mesafeye uzanabilir. Primer fistülün sfinkterler ile ilişkisini ve abse veya sekonder dal varlığını ameliyat öncesi bilmek, tedavi planı açısından önemlidir. İskiyoanal ve iskiyorektal mesafe tutulmamışsa hastalık daha kolay tedavi edilir. Bu mesafelerde abse veya sekonder bir dal varsa fistül komplekstir ve tedavisi kompleks olmayan fistüle göre değişik olabilir. Bundan dolayı, primer fistül traktı anatomik yerleşimine göre geleneksel olarak sınıflandırılır. Bu sınıflama dörde ayrılır: 1- İntersfinkterik (iç ve dış sfinkter arasında), 2- Transsfinkterik (dış sfinkteri geçerek iskiyoanal veya iskiyorektal mesafeye ulaşmış), 3- Suprasfinkterik (intersfinkterik plandan yukarı doğru uzanan traktüs puborektal kasın Genel Gaz ve Dışkı Kaçırma (Anal İnkontinans) Perianal Fistüller Rektal Tümörler Anal Tümörler Kabızlık Yazılarımız üstündeki bir seviyeden yana kıvrılarak tekrar aşağıya iskiyoanal mesafeye uzanmış), 4- Ekstrasfinkterik (sfinkterlerin dış tarafında rektumdan direkt olarak perianal cilde uzanan traktüs). Endoanal ultrason ile hem primer fistül, hem de varsa sekonder dal ve abse doğru bir şekilde tanınır. Endoanal ultrason ile fistülün anal kanala açılan kısmını (iç uç) görmek kolaydır. Bu hastalarda sfinkter defektlerine de rastlanmaktadır. Sfinkter defekti endoanal ultrason ile kolaylıkla tespit edilir. (bkz. anal inkontinans) Perianal fistül şikayeti olan hastaların az kısmında endoanal ultrason ile bir şey görülemez ise endoanal ultrason probuna ek olarak lineer prob ile anal kanal çevresine bakmak yararlıdır. Çünkü anal kanal bileşenlerinin uzağındaki bir enflamasyon ancak bu problar ile tanınabilir.
İntersfİnkterİk fİstül TRANSSFİNKTERİK FİSTÜL
Suprasfİnkterİk fİstül Ekstrasfİnkterİk fİstül
Crohn hastasında parİanal enflamatuvar hastalık
Adres : Fulya Mah. Büyükdere Cad. No: 36 PK: 34394 Mecidiyeköy - Şişli / İstanbul Tel : +90 0212 267 35 35 / +90 530 156 76 88 Mail : bilgi@endoanalultrason.com Web : www.ismailmihmanli.com - www.alka.com.tr